Cabinet dentaire du Nord Dr Jihad THOME
Chirurgien-Dentiste à Paris 18
Cabinet dentaire du Nord Dr Jihad THOME

47 rue Marx Dormoy - Rez-de-chaussée
75018 PARIS

Chirurgien-Dentiste à Paris 18

Cas cliniques

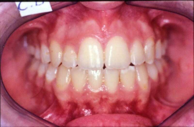
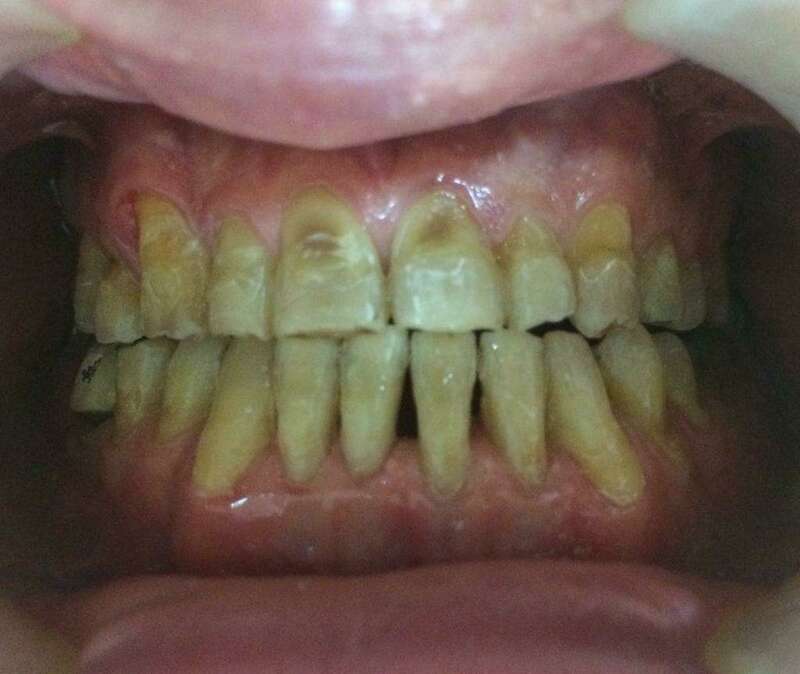
Traitement orthodontique d'un cas sévère en lui épargnant extractions dentaires et chirurgie maxillo-faciale à l'âge de 34ans - traitement réalisé en 15 mois :

Avant
Après
Traitement orthodontique d'un cas sévère avant Traitement orthodontique d'un cas sévère après
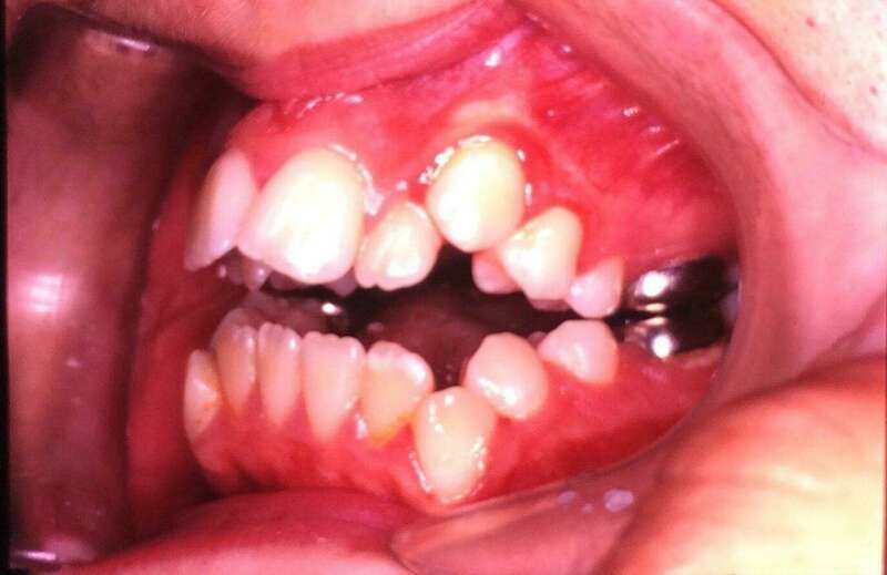
Avant
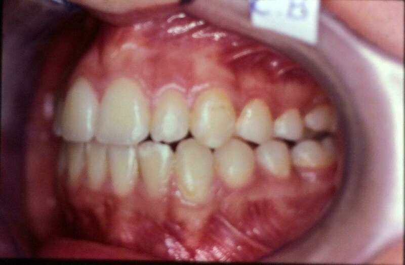
Après
Extractions dentaires et chirurgie maxillo-faciale avant Extractions dentaires et chirurgie maxillo-faciale après

Patient de 16 ans traité avec un appareillage fixe orthodontique sans extractions dentaires - durée du traitement 18 mois. Avant et après :

Appareillage fixe orthodontique avant et apres
Traitement orthodontique après

Traitement d'un encombrement dentaire très sévère sans aucune extraction dentaire

Traitement d'un encombrement dentaire très sévère sans aucune extraction dentaire.

Patient à 13 ans, photographié avec appareillage Orthodontique simple pui, photographié successivement après 5 mois et 8 mois du début de traitement. Avant et après : 

Traitement d'un encombrement dentaire
Appareillage Orthodontique simple pui

Patient de 56 ans avec un problème squelettique (osseux) traité simplement avec un appareillage orthodontique en lui épargnant extractions dentaires et chirurgie maxillo-faciale. Avant et après :

Avant
Après
Traitement simplement orthodontique avant Traitement simplement orthodontique après
Avant
Après
 Avant traitement simplement orthodontique Après traitement simplement orthodontique

Patiente de 17 ans avec un problème squelettique (osseux) traité simplement avec un appareillage Orthodontique lui épargnant une chirurgie maxillo-faciale. Avant et après :

Avant
Après
Traitement simplement avec un appareillage avant Traitement simplement avec un appareillage après
Avant
Après
Traitement problème squelettique osseux avant Traitement problème squelettique osseux après
Avant
Après
Traitement simplement avec un appareillage Orthodontique avant Traitement simplement avec un appareillage Orthodontique après

Jeune patient avant et après son traitement prothétique esthétique :

Jeune patient avant son traitement prothétique esthétique
Jeune patient après son traitement prothétique esthétique
Traitement prothétique d'un jeune patient après

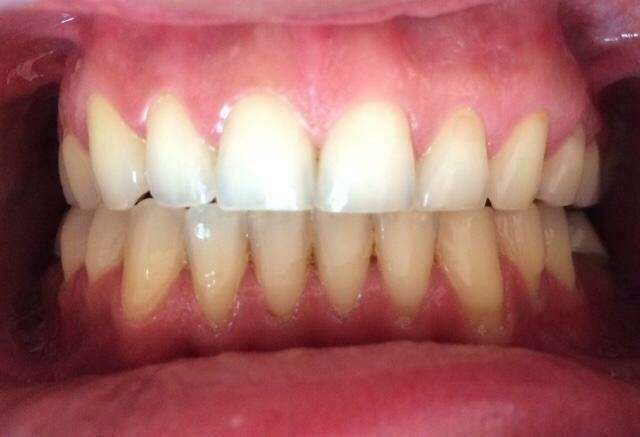
Jeune patiente avec dents manquantes à l’avant et très délabrées des 2 cotés :

Jeune patiente avec dents très délabrées avant
Jeune patiente avec dents très délabrées après

Patiente ayant des dents de la mâchoire supérieure cariées en plus d’anciennes couronnes portées par des molaires et prémolaires douloureuses et infectées :

Patiente ayant des dents cariées

Jeune patient avec anciennes couronnes et dents supérieurs fracturées et infectées : 

Traitement des dents supérieurs fracturées et infectées avant
Traitement des dents supérieurs fracturées et infectées après

Patient avant et après son traitement prothétique esthétique. Recul de 4 à 6 ans :

Traitement prothétique esthétique d'un patient
Patient avant son traitement prothétique esthétique
Patient après son traitement prothétique esthétique

Traitement prothétique esthétique des 2 mâchoires supérieure et inférieure chez un patient d’âge moyen avec délabrement dentaire très poussé et avancé. Patient avant et après son traitement :

Traitement prothétique esthétique
Traitement prothétique esthétique mâchoires supérieure et inférieure

Patient avec dents supérieures très cariées et délabrées, soins terminés et traitement prothétique aussi. Patient avant et après son traitement terminé :

Patient avec dents supérieures très cariées et délabrées
Patient après son traitement pour des dents supérieures très cariées et délabrées
Patient qui montre ses dents après son traitement